- 治療前検査(準備) -

兵庫県立粒子線医療センタートップページ > 受診希望の方 > 粒子線治療開始から終了までの流れ > 治療前検査(準備)
治療の開始から終了まで、クリニカルパスに基づいて日程が決まります。
治療開始までの準備には約1週間かかります。
粒子線治療中に体が動かないようにする目的で、固定具を作成します。固定具を用いることにより毎回の治療で同じ体勢になることができ、治療精度が高まります。固定具を作成する際に体表にマーキングをさせていただきます。体表にマーキングを残すことでより体の位置の再現性を向上し、治療位置決めに要する時間を短くできます。ここで作成した固定具は治療が終わるまでずっと使います。

固定具の材料 (加熱前)

固定具の作成

頭頚部用

胸部用

腹部用

骨盤部用
CT検査、MRI検査や内視鏡検査などを行います。これらの検査は粒子線治療計画の際に、正確に腫瘍の範囲を決定するために必要です。治療効果を判定する時にも比較対象として用います。どのような検査を行うかはがんの種類によって異なります。
治療を受ける姿勢でCT検査を行うことにより、病巣周囲の断層画像を撮影します。
この断層画像が粒子線治療計画を行うための基本となります。
【1】CT検査台の上でこれから治療を受ける姿勢を取り、固定具を付けます。
【2】最初に、固定具の上にCT検査を行う中心点の印をつけます(マーキング)。
【3】CT画像を撮影します。診断目的の検査と違い、息を止めることはしません。
※胸部や腹部にある病巣(肺や肝臓)に対する治療を行う場合、呼吸で病巣が動きますので呼吸同期装置を使って、息を吐いた瞬間のみのCT画像を集めます。実際には自由に呼吸をしている状態ですが、CT画像上では息が止まっているようにみえます(実際の粒子線照射のときにも同じ呼吸同期装置を使い、息を吐いた状態のみ照射を行います)。
【4】必要に応じて同様の目的でMRI検査を行うことがあります。

CT室

CTシュミレーション

呼吸センサー

呼吸同期装置
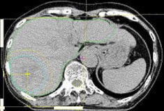
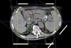
位置決めCTの画像を基本として、腫瘍の大きさや進展範囲を判断し、適切な粒子線の照射範囲や方向、線量の処方を行います。
【1】CT検査だけでは腫瘍の進展範囲がわかりにくいことがあるため、必要に応じて同じ場所のMRI画像とCT画像の重ね合わせ(フュージョン)を行います。
【2】画像をもとに腫瘍の範囲を指定し、腫瘍の形状を治療計画装置上で定義します。呼吸や体の動きによる誤差も考慮して適切な粒子線の照射野の形状を決定します。また、副作用の可能性のある臓器の指定も行います。
【3】粒子線を照射する方向やエネルギー、深さを決定します。この時に治療計画装置上で試行錯誤を繰り返し、もっとも副作用を少なくすることのできる、効果的な治療法を選びます。
【4】最後に計画情報の保存・出力を行います。

位置決めCT元画像

腫瘍形状の指定

2次元線量分布図

3次元線量分布図
作成された治療計画は、翌日のモーニングカンファレンス(医師、診療放射線技師、医学物理士、看護師、薬剤師が参加で検討されます。何か問題があれば再度の治療計画を行います。ここで承認されたら、アフタヌーンカンファレンスに提出され、再チェックおよびモーニングカンファレンスに出席できなかった病院スタッフへの周知がなされます。ここで承認された後に、はじめて粒子線治療装置に治療計画情報が転送されます。

モーニングカンファレンス

アフタヌーンカンファレンス
承認された粒子線治療計画に基づいて、予想される治療効果や副作用に関して文書による説明を行います。治療を行うことについて最終的な同意をいただければ、治療のスケジュールを正式に決定します。この説明は担当医師が行い、看護師も同席します。説明でわからなかったことや、疑問に思うことなどがあれば、遠慮なくお知らせ下さい。患者さんが納得して治療選択ができるよう、医療スタッフで支援いたします。
なお治療時の処置の確認等のCT検査が必要な場合には治療前説明後にお時間をいただく場合があります。
実際の治療を始める前にあらかじめ、粒子線治療の模擬体験をしていただきます。同時に、固定具や粒子線治療装置の設定値に関しての最終確認を行います。まず、位置合わせを行い、毎日粒子線治療計画通りの照射を行うための基本となる照合用X線写真の撮影を行います。治療リハーサルには約30分かかりますが、この間患者さんはまったく動かず、じっとしていただく必要があります。
これで治療の準備はすべて終了です。
出来るだけ安楽に治療が受けられるように工夫しますので、苦痛があればお知らせ下さい。
痛みや吐き気などの症状は治療前に症状をコントロールして治療にのぞむことが必要です。医師・看護師とともに症状を軽減するための薬剤の使用方法について相談します。

治療リハーサルの様子

固定具へのマーキング

治療計画装置で作られた画像

照射室で撮影したX線画像