- 金属マーカー留置 -

兵庫県立粒子線医療センタートップページ > 治療できるがん > 金属マーカー留置
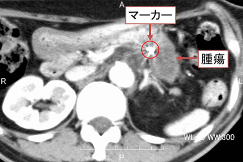
粒子線治療の標的となる腫瘍の多くは、呼吸や心拍動、消化管の動き、消化管内の残渣や便によって不規則的に動きます。あらかじめ「照射用マーカー」を腫瘍近傍に留置しておくことによって、それらの動きや腫瘍の形態の変化をX線透視画像によって検知することができるようになり、粒子線ビームを正確に腫瘍に当てることができます。
マーカーには金や白金を形成した微小の金属を用います。臓器や目的によって様々な専用のマーカーが作られており、留置の方法によっても使い分けます。
粒子線治療後にマーカーを取り出すことはできませんが、マーカーに使用される金属は非常に小さいものなので、留置の後もMRI検査を問題なく受ける事ができます。
マーカーの種類

大きく二つの方法があり、発生臓器、腫瘍の位置・大きさなどによってどちらかの方法で留置を行い増す。

皮膚に局所麻酔を行い、注射針を用いて目的の臓器まで穿刺し、注射針の内部に収められたマーカーを押し出します。穿刺にはエコー装置を用い、マーカーの位置を確認しながら行います。
処置時間: 30~60分
処置後安静時間: 3時間
合併症: 出血や血腫(発生頻度1%以下)

右足の付け根(鼠径部)に局所麻酔を行い、大腿動脈にカテーテルを挿入、肝動脈や膵臓の動脈などにカテーテルを進め、腫瘍の近傍の細い動脈内にカテーテルを通してマーカーを押し出します。カテーテルの位置や動脈の構造を把握するために血管造影装置を用います。造影CT検査と同じ造影剤を使用するので、造影剤アレルギーのある方はこの処置は受けられません。
処置時間: 30~60分
処置後安静時間: 4~6時間もしくは翌朝まで
合併症: 造影剤アレルギー(3%程度)、出血や血腫(1%以下)、動脈損傷(1%以下)など
注意点: 処置終了後は動脈からの出血を予防するため、絶対安静が必要です。トイレ歩行も制限されるため、尿道カテーテルが原則必要となります。また、処置を正確に行うために前日の眠前の下剤の内服が必要です。
専用の医療機器を必要とするため、当センターの連携病院で処置を行う場合があります。(2~3日の入院が必要)